?
墜落驚魂!重獲新生!22歲的她在半個月經歷兩大轉折!
某天,22歲的小陳被120緊急送至浙江省榮軍醫院急診,據同行的朋友告知,她不慎從九樓跌落至八樓平臺。雖僅有一層,但巨大的沖擊力讓小陳的頭面部、腰背、手腕以及骨盆傳來陣陣劇痛,且左上肢和腰背無法動彈。急診CT檢查發現,患者從眼眶、上頜、腰椎到左側髂骨、恥骨、尾骶骨存在多處骨折及錯位。

起初,住進醫院的小陳情緒波動巨大,我還有的救嗎?什么時候能手術?術后還有希望站起來嗎?她躺在病床想著各種問題,感覺著全身各處傳來的疼痛,哭成了每日的主題,也把煩躁帶給前來看望自己的家人。在排除隱匿性骨折之后,醫院急診應對患者血壓不穩情況,進行了經導管髂內動脈栓塞術,隨后將其轉入ICU待進一步治療處理。

與此同時,醫院創傷骨科團隊積極響應救治,根據患者的軟組織傷情和骨折程度制定出了手術方案——借助專業影像設備定位骨折部位,通過微小切口完成股骨、恥骨、橈骨等位置的骨折復位與固定。
得知可以手術,小陳又有了新的疑慮,切口會不會很大,疤痕是不是很明顯。但這些也早已在團隊的預設之中,經過談話解釋,逐一打消了她的疑慮。手術在小陳入院一周后順利完成。術后,身上的痛感逐日消退,當換藥時瞥到微創切口,心情也好了起來,也越發配合創傷骨科團隊的治療。經過一段時間治療及護理,小陳能夠穿戴護腰坐起,重新找回了笑臉,并詢問主管醫生潘卓爾自己是否能出院了。經過團隊評估,小陳能夠出院了。


本著“先救命,后治病”的原則,創傷骨科主任胡繼超表示,針對嚴重多發傷患者,首先要采取有效的緊急搶救措施挽救處在第一、第二死亡高峰風險期的患者,為進一步復蘇和穩定創造條件,為后期的確定性治療和康復打好基礎。

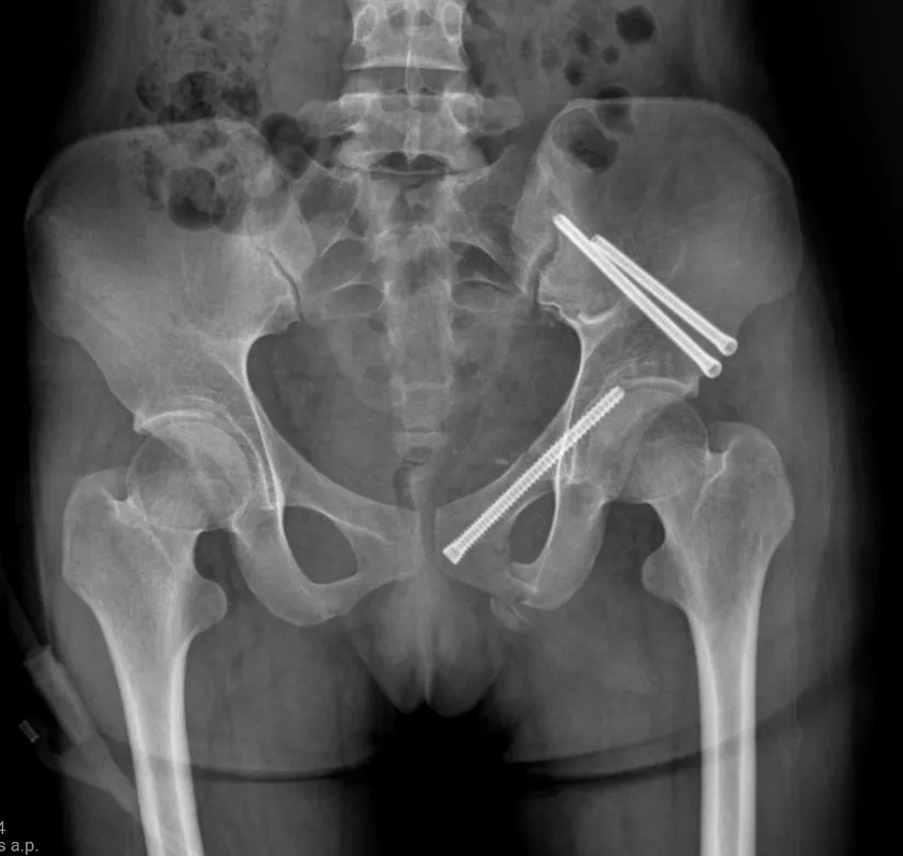
術中透視(上)

術后X光片(下)
針對小陳這樣的案例,使用的經皮恥骨支螺釘內固定術是一種髓內固定技術,在治療骨盆前環損傷中得到了越來越廣泛的應用,常用于恥骨上支骨折和髖臼前柱骨折。經過實踐分析,這是治療單側恥骨骨折的最佳治療方式,具有手術創傷小、術中出血量少、固定強度大、并發癥少及功能恢復快等優點。

一個月后,胡繼超團隊收到了她發來的康復視頻,現在能夠平穩地行走:“大家都為她感到高興!”
地址:浙江省嘉興市南湖區雙園路309號(中環西路589號) E-mail:zjsrjyy@126.com 健康熱線:0573-82083548、82880120 體檢中心:0573-82063011
浙江省榮軍醫院 版權所有 2017 All rights reserved 浙ICP備09045967號-2 浙公網安備33040202000441號 技術支持 | 浙江創智科技有限公司